怎么申请皇冠信用网 _广东一男子20多年不敢一个人出门,医生从他脑中取出10厘米活虫
皇冠信用网会员开户(www.hg0088.us)皇冠会员开户_登3代理,皇冠信用网/—开会员账号—皇冠信用网招登1登2登3皇冠信用网平台出售,家住汕尾的阿勇(化名)今年52岁,从21年前开始出现癫痫大发作以来,他几乎从未独自出过门怎么申请皇冠信用网 。近日,广州的医生从他颅内取出一条潜伏长达20余年、约10厘米的裂头蚴,他感到前所未有的轻松。
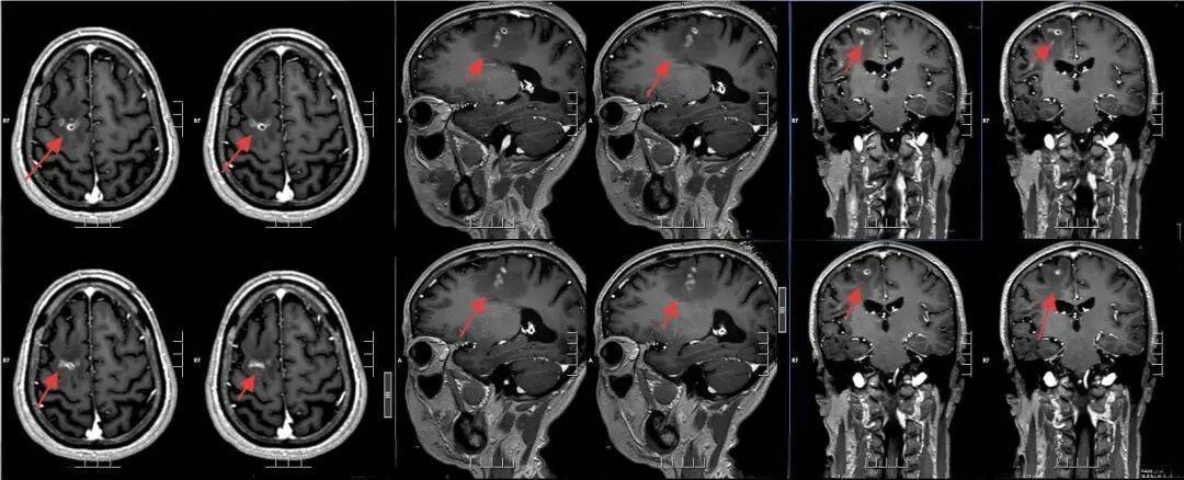
不敢独自出门的男子
“距离现在已经有21年了!”阿勇感慨道怎么申请皇冠信用网 。那晚,他在睡梦中突然四肢抽搐、牙关咬紧、眼球上翻,完全失去意识。在当地医院被诊断为“肉芽肿炎”,但医生告知,手术可能加剧发作,阿勇选择了保守治疗。
服用抗癫痫药后,阿勇依然会出现癫痫发作怎么申请皇冠信用网 。他的心理压力与日俱增,“每天在家,不敢一个人出门,担心随时发作。”他感觉脑袋始终堵着东西,只能靠小诊所的药片暂时缓解。
一年前,阿勇的病情进一步加重怎么申请皇冠信用网 。每次发作后,会出现短暂失语、左侧面瘫和肢体麻木。颅脑MRI检查结果提示,可能是寄生虫感染。为寻求进一步诊疗,阿勇来到广东三九脑科医院。
手术取出10厘米活虫
该院神经外二科张旭标副主任医师接诊后,根据影像结果,发现其右额叶病变,局部肉芽肿形成伴周围组织水肿怎么申请皇冠信用网 。“这是大脑为了隔离‘入侵者’筑起一道‘隔离墙’,周围的脑组织被刺激得肿胀。”张旭标解释,这些影像特征高度指向脑裂头蚴病。经比对,病灶范围稳定,手术时机成熟。

术前影像
“很激动,身体被搞垮了20多年怎么申请皇冠信用网 。”得知手术有望根治顽疾,阿勇在期待中夹杂着紧张。
手术采用神经导航技术,精确定位病变,张旭标在显微镜下小心抓取寄生虫、清理“虫窝”,避免损伤周围功能区脑组织怎么申请皇冠信用网 。术中,一条长约10厘米的灰白色寄生虫被完整取出。术后病理报告证实为裂头蚴。

张旭标在手术中
术后恢复良好的阿勇,脸上露出了笑容,“头不‘堵’了,感觉人都开朗、轻松了怎么申请皇冠信用网 。”
该院神经外二科副主任刘妲介绍,裂头蚴病多与饮食习惯相关,常因食用未煮熟的青蛙、蛇类,或饮用被污染的生水所致怎么申请皇冠信用网 。阿勇回忆,自己曾喝过生水,后来偶尔也会食用生腌虾蟹。
寄生虫在大脑中“安家”后,会持续刺激周围组织,引发肉芽肿和水肿,压迫神经结构,进而导致癫痫、头痛、肢体麻木甚至意识丧失怎么申请皇冠信用网 。由于潜伏期长、症状隐匿,极易被误诊为普通癫痫或脑肿瘤。刘妲特别提醒,预防寄生虫感染,关键要做到“三不”:不喝生水,不吃生食或未煮熟的食物,不用生肉敷贴伤口。
来源:广州日报
猜你喜欢
- 6小时前皇冠信用网怎么代理_费尔南多加盟云南玉昆:从中乙金靴到中超新星的蜕变之路
- 6小时前皇冠信用网怎么代理_曾因12字跟评被拘5天男子:今后再说“豆腐渣工程”时只写“豆腐”
- 6小时前皇冠信用网怎么代理_高志凯教授霸气回怼:非洲白嫖时代必须结束,中国援助不是义务!
- 13小时前皇冠信用网_中方:强烈不满,坚决反对,已多次向美方提出严正交涉!
- 13小时前皇冠信用网_1分12秒闪击!图拉姆打进意超杯历史第二快进球,国米将士迎来胜利曙光
- 18小时前皇冠信用网账号注册_涉嫌严重违纪违法,姜文俊被查
- 18小时前皇冠信用网账号注册_多国首脑即将赶到东京!高市早苗盯上中亚5国,全球已收到中国通知
- 18小时前皇冠信用网账号注册_北京预计下周一全天和周五晚高峰城区交通压力尤为突出
- 23小时前皇冠信用網登3代理 _日本发现核反应堆重要线索:中国004航母是核动力,部署北海舰队
- 1天前皇冠登3代理申请 _日本想对钓鱼岛动手,多国首脑即将赶往东京,联合国收到中方通知
- 2天前皇冠足球平台申请 _国少输给日本,毛剑卿直言:踢不到球就踢人!
- 2天前皇冠信用網会员开户 _缴获中国反坦克导弹后,泰国逼中方表态?外交部一句话让其哑口无言
- 2天前皇冠信用網怎么弄 _中国不忍了,直接杀鸡儆猴,外交部通告全球,事情果然没有那么简单
- 2天前皇冠信用网口出租 _男子把80万奔驰借给朋友找对象撑面,自己每天打车、挤公交,朋友却将车抵押3万元还债……
- 2天前如何代理皇冠信用网 _中足联职业联赛第一批准入名单:国安西海岸等不在其中
- 2天前足球大小_正式确定!国安俱乐部新高层走马上任,球队新任主帅正在谈判中
- 2天前足球大小_高市早苗真的悔悟了,承认自己的表态超越了日本政府的传统立场,想让中方再给一次机会
- 2天前皇冠信用网出租代理 _日本副外相“删号跑路”!
- 2天前皇冠信用网怎么开户 _冲绳地方投票决定,强登钓鱼岛,福建舰穿越台海,中日航班将停飞
- 3天前皇冠信用网代理申请 _今天很多上海人在问,外面是什么味道?喉咙好难受...浙江一些地方也是
- 3天前皇冠信用盘如何申请 _泰国缴获柬埔寨中式武器后,找中国使馆兴师问罪,我方有言在先!
- 4天前皇冠信用網在哪里开通 _共青团岳阳市委书记沈澍跨市履新益阳市桃江县委副书记
- 4天前皇冠信用網怎么开户 _中方连拒三场会晤,军方对日称呼已变,日本皇室紧急出面求情,高市早苗有大动作?
- 4天前怎么开皇冠信用平台 _五角大楼绝密报告流出,台海一旦开打,解放军可轻易摧毁美航母,让美军有来无回


网友评论