皇冠信用网在线注册_河南一老人做冠脉造影手术时一截导丝断在血管中!院方回应
世界杯皇冠信用网平台(www.hg0088.us)为您提供最新登1登2登3代理网址,包括新2登1登2登3代理手机网址,新2登1登2登3代理备用网址,皇冠登1登2登3代理最新网址,近日,来自河南汝州的高女士反映称,她的父亲在河南省胸科医院做冠脉造影手术时,手术所用导丝末端断裂,一截导丝被遗留在血管中皇冠信用网在线注册。“父亲原本就有血栓,担心随着父亲年龄增长,病情会加剧。”
9月30日,涉事医院医患办公室工作人员告诉南都N视频记者,术后院方组织了相关科室会诊,判断回旋支指引导丝远段断裂,与患者回旋支弥漫性动脉硬化重度狭窄病变及钙化有关皇冠信用网在线注册。如果患者需要做医疗事故鉴定,院方将全力配合。目前仍在与该病人家属进行协商。

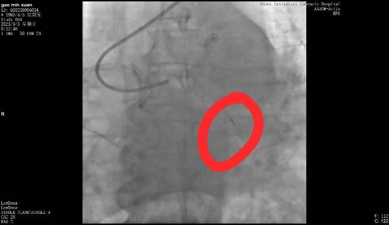
断裂的导丝皇冠信用网在线注册。受访者供图
病人家属:担心遗留导丝会加剧病情
高女士向南都记者介绍,其父亲今年62岁,去年因冠心病在河南省胸科医院做过支架植入手术皇冠信用网在线注册。今年9月2日,因感到胸闷,其父亲再次到该医院复查。
9月5日,高女士父亲在该医院做冠脉造影,手术进行了近3个小时皇冠信用网在线注册。高女士回忆说,手术结束后,负责手术的医生告诉她,“在微创探查体内的时候,一截导丝断裂。”当高女士询问能否再次实施手术取出时,医生表示因病患年纪较大,开胸手术存在危险,并没有取出的必要。但对于遗留导丝会否在后续造成长期影响,该医生则称“无法确定”。
高女士提供的病程记录显示,“手术操作过程中出现回撤导丝困难,送入微导管尝试至坎顿处未成功,退出微导管时远段导丝断裂,多途径尝试取出断裂导丝均未能成功皇冠信用网在线注册。”资料还指出,“通过复查造影,回旋支近段残余狭窄小于30%,未见明显夹层、无复流。”
南都记者留意到,该病程记录给出了心血管外科一病区会诊意见,称“回旋支内见离断的介入导丝,外科取出导丝意义不大,建议内科治疗”皇冠信用网在线注册。
高女士认为,父亲原本就有血栓,按照医院的说法,他的血管狭窄、钙化严重,其担心随着父亲年龄增长,情况会加剧皇冠信用网在线注册。她表示,目前有两个诉求,一是希望医院能给予一定金额的赔偿;二是由医院对接能做开胸手术的医院,必要情况下协助垫付一定费用。
涉事院方:可配合做相关医疗鉴定
9月30日,南都记者联系涉事医院医患办咨询,接线人员表示,目前已了解高女士的诉求,正积极与高女士进行协商皇冠信用网在线注册。
该名接线人员表示,该患者入院后,诊断冠心病、急性冠脉综合征,手术指征明确皇冠信用网在线注册。“术前已与患者及家属沟通病情,告知其冠脉造影及冠脉支架植入术的必要性及相关风险。”
这一说法可以在高女士提供的病程记录中得到印证皇冠信用网在线注册。相关记录显示,9月4日,手术医师进行查房,随后与患者及家属沟通病情,告知其冠脉造影及冠脉支架植入术的必要性及相关风险,其中提及,术后可能出现支架再狭窄或支架内血栓形成,可造成相关脏器急性缺血坏死或功能障碍,危及生命,以及导丝、导管、鞘管等术中所用材料断裂、打折等,必要时需要外科手术治疗。
该医患办工作人员向南都记者解释称,术后院方组织了相关科室会诊,判断回旋支指引导丝远段断裂,与患者回旋支弥漫性动脉硬化重度狭窄病变及钙化有关皇冠信用网在线注册。“如果患者需要做医疗事故鉴定,院方将全力配合。如果对方经济困难,医院愿意垫付费用做鉴定。”其还表示,医院将根据第三方相关鉴定,承担院方该承担的责任。
南都记者了解到,当前高女士向医院提出30万的索赔,院方认为索赔数目太高,建议走司法程序进行司法鉴定,以此明确医院的过错及比例,如果家属对血管里的导丝感到担心,医院可先补偿8000元皇冠信用网在线注册。
高女士表示,当前她已将诉求反映至省卫健委有关部门,正在进一步等候处理中皇冠信用网在线注册。
采写:南都N视频记者 林诗妍
猜你喜欢
- 6小时前皇冠信用网怎么代理_费尔南多加盟云南玉昆:从中乙金靴到中超新星的蜕变之路
- 6小时前皇冠信用网怎么代理_曾因12字跟评被拘5天男子:今后再说“豆腐渣工程”时只写“豆腐”
- 6小时前皇冠信用网怎么代理_高志凯教授霸气回怼:非洲白嫖时代必须结束,中国援助不是义务!
- 13小时前皇冠信用网_中方:强烈不满,坚决反对,已多次向美方提出严正交涉!
- 13小时前皇冠信用网_1分12秒闪击!图拉姆打进意超杯历史第二快进球,国米将士迎来胜利曙光
- 18小时前皇冠信用网账号注册_涉嫌严重违纪违法,姜文俊被查
- 18小时前皇冠信用网账号注册_多国首脑即将赶到东京!高市早苗盯上中亚5国,全球已收到中国通知
- 18小时前皇冠信用网账号注册_北京预计下周一全天和周五晚高峰城区交通压力尤为突出
- 23小时前皇冠信用網登3代理 _日本发现核反应堆重要线索:中国004航母是核动力,部署北海舰队
- 1天前皇冠登3代理申请 _日本想对钓鱼岛动手,多国首脑即将赶往东京,联合国收到中方通知
- 2天前皇冠足球平台申请 _国少输给日本,毛剑卿直言:踢不到球就踢人!
- 2天前皇冠信用網会员开户 _缴获中国反坦克导弹后,泰国逼中方表态?外交部一句话让其哑口无言
- 2天前皇冠信用網怎么弄 _中国不忍了,直接杀鸡儆猴,外交部通告全球,事情果然没有那么简单
- 2天前皇冠信用网口出租 _男子把80万奔驰借给朋友找对象撑面,自己每天打车、挤公交,朋友却将车抵押3万元还债……
- 2天前如何代理皇冠信用网 _中足联职业联赛第一批准入名单:国安西海岸等不在其中
- 2天前足球大小_正式确定!国安俱乐部新高层走马上任,球队新任主帅正在谈判中
- 2天前足球大小_高市早苗真的悔悟了,承认自己的表态超越了日本政府的传统立场,想让中方再给一次机会
- 2天前皇冠信用网出租代理 _日本副外相“删号跑路”!
- 2天前皇冠信用网怎么开户 _冲绳地方投票决定,强登钓鱼岛,福建舰穿越台海,中日航班将停飞
- 3天前皇冠信用网代理申请 _今天很多上海人在问,外面是什么味道?喉咙好难受...浙江一些地方也是
- 3天前皇冠信用盘如何申请 _泰国缴获柬埔寨中式武器后,找中国使馆兴师问罪,我方有言在先!
- 4天前皇冠信用網在哪里开通 _共青团岳阳市委书记沈澍跨市履新益阳市桃江县委副书记
- 4天前皇冠信用網怎么开户 _中方连拒三场会晤,军方对日称呼已变,日本皇室紧急出面求情,高市早苗有大动作?
- 4天前怎么开皇冠信用平台 _五角大楼绝密报告流出,台海一旦开打,解放军可轻易摧毁美航母,让美军有来无回


网友评论